Ask AI
ARIA Training Module

CE / CME

Spot the Signal: Global Radiology Training for ARIA Detection in Alzheimer’s Care

Physician Assistants/Physician Associates: 1.00 AAPA Category 1 CME credit

Physicians: Maximum of 1.00 AMA PRA Category 1 Credit

European Learners: 1.00 EBAC® CE Credit

Released: April 23, 2026

Expiration: April 22, 2027

Activity

Progress
1 2 3
Course Completed

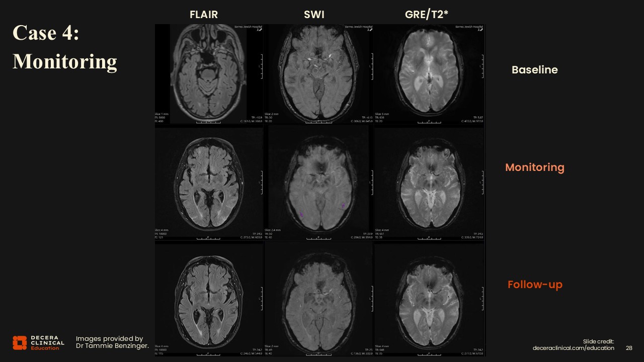
Case 4: Moderate ARIA-E and ARIA-H

Dr Benzinger:

This is a nice example of edema and effusions on FLAIR having similar findings on SWI for siderosis.

Case 4: Moderate ARIA-E and ARIA-H (Detail)

Dr Benzinger:

Purple arrows in the inset images show areas of interest; again, the 2 findings occur in the same brain regions.

Case 4: Moderate ARIA-E and ARIA-H (Grading)

Dr Benzinger:

Classification for ARIA-E will be moderate because there were 2 different regions less than 10 cm each. For ARIA-H, there were 2 regions of siderosis, so that classification is moderate as well. Our actions would include notifying the clinical team, documenting the grading in our report, and recommending a follow-up MRI for stabilization vs progression. The clinical team will correlate symptoms and determine whether therapy should be paused under the treatment algorithm. Once a case falls into the moderate range, therapy would typically be paused until ARIA resolves/stabilizes.

Case 4: Lessons Learned

Dr Benzinger:

This case serves as a reminder of the importance of communication among the healthcare team, particularly from the radiologist when pausing treatment might be in the patient’s best interest. This case also illustrates that when edema is visible, radiologists should perform a deliberate search for colocalized microhemorrhages or siderosis, as these may initially be overlooked.

Case 5: ARIA Monitoring in Comparison with CT Scan

Dr Benzinger:

In this case, vasogenic edema in the right frontal lobe becomes more visible in the enlarged image.

Case 5: ARIA Monitoring and CT Scan

Dr Benzinger:

The trick is that there is also a little bit of signal loss on SWI, and comparison with baseline confirms that these are not just veins in that area, but this represents new change.

Case 5: ARIA Monitoring (Grading)

Dr Benzinger:

For classification, this is consistent with mild ARIA-E along with new susceptibility signal loss indicating additional microhemorrhages, graded as moderate ARIA-H based on lesion count. The plan would be to place a phone call to the clinical treatment team, correlate for symptoms, and recommend a follow-up scan.

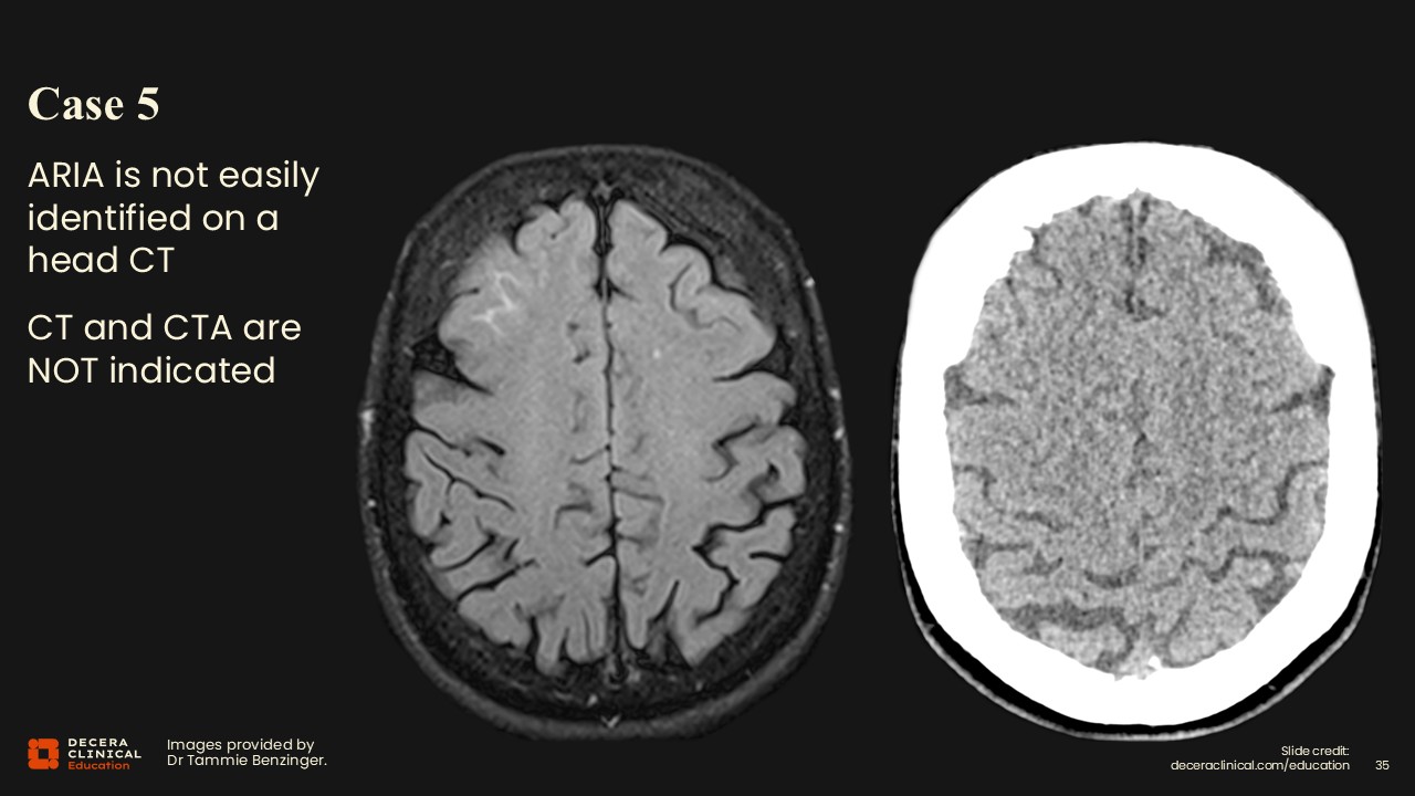
Case 5: ARIA Not Seen on Head CT and CTA

Dr Benzinger:

This is another example where a corresponding head CT failed to show the edema or hemorrhagic changes clearly. It is not well visualized, although you might think that it would be. This underscores that CT is not sensitive for typical ARIA findings and that MRI is preferred for detection and follow-up.

Case 5: Lessons Learned

Dr Benzinger:

This was another case where a couple of the findings were missed by the original radiologist. The edema was found but not identified as ARIA. This case illustrates that radiologists may correctly recognize edema but not connect it to ARIA in the context of ATT. Education and clear communication about a patient’s treatment status are essential so that radiologists can appropriately label and grade ARIA when it is present.

Case 6: Distinguishing ARIA From CAA

Dr Benzinger:

This is a patient who came into the emergency department after a motor vehicle accident. They are visiting their family from out of town, and we do not have their medical records.

A head CT shows multifocal vasogenic edema and some focal hyperintensities concerning for hemorrhage as well.

A brain MRI including diffusion protocols shows no diffusion restriction. Diffusion is included in these protocols because the symptoms of stroke and the edema findings can overlap. There are large areas of vasogenic edema in the right temporal and right occipital lobes, and multiple microhemorrhages.

Case 6: Differential Diagnosis

Dr Benzinger:

In the differential diagnosis, factors to consider are that the patient is being seen in the ER and we do not have a medical history. We do not know whether they are receiving ATT, but we do know that there could be trauma from the car accident. In this case, the diagnosis is CAA.

Case 6: CAA Can Resemble ARIA

Dr Benzinger:

This case serves as a reminder that if you see something that looks like ARIA in a patient not receiving ATT, you can consider CAA as an alternative diagnosis. The vascular amyloid depositions that are responsible for a lot of the MRI features we see are a shared mechanism of CAA and ARIA.13

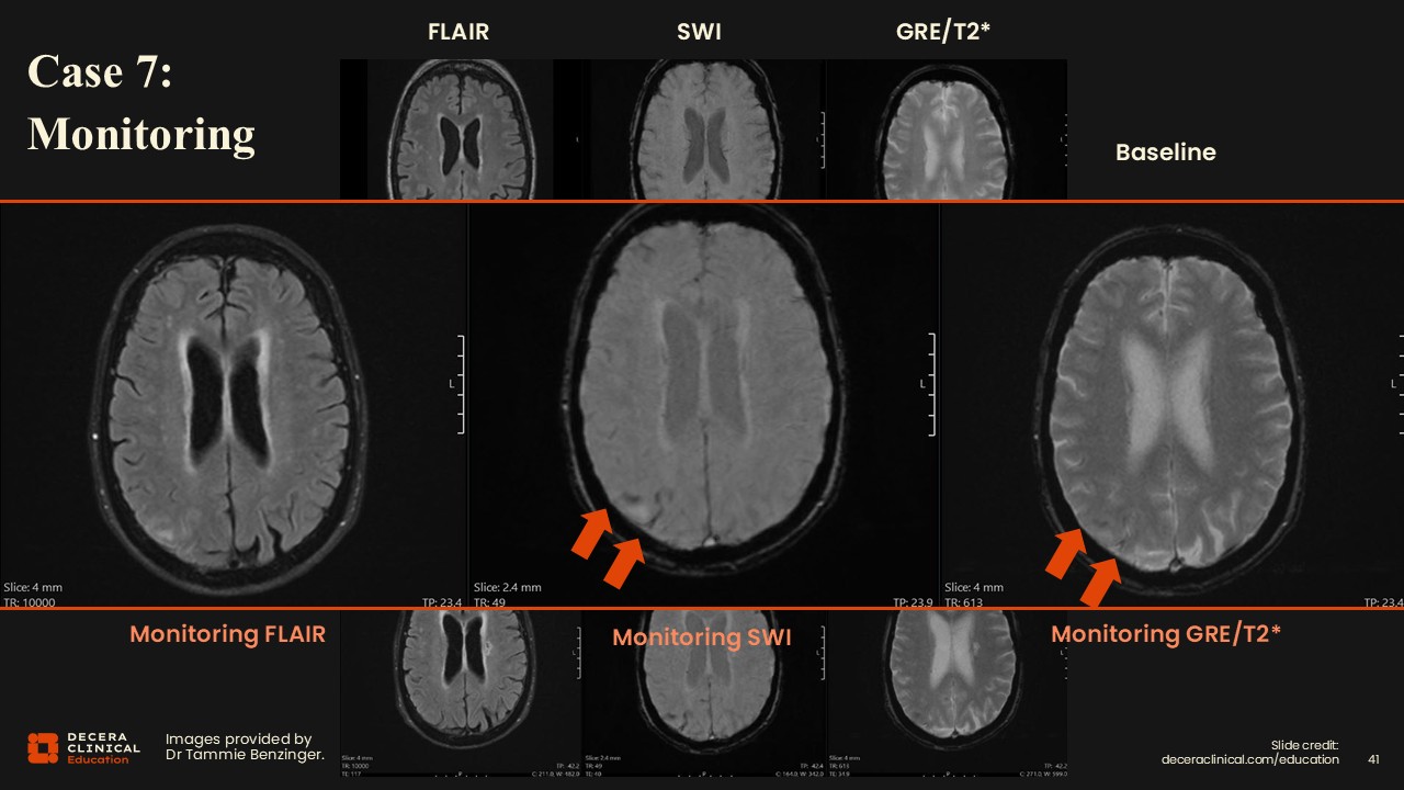
Case 7: ARIA Detection on Monitoring

Dr Benzinger:

For the final case, we have the same 3-visit setup: baseline, monitoring, and follow-up for a patient receiving ATT.

Case 7: ARIA Detection on Monitoring (Detail)

Dr Benzinger:

Upon inspection, vasogenic edema and sulcal effusions are noted on FLAIR, and then findings on SWI, and very subtle on the GRE/T2* as well.

Case 7: ARIA Detection on Monitoring (Grading)

Dr Benzinger:

Findings are consistent with mild ARIA-E and moderate ARIA-H with 2 siderosis.

Case 7: Infarcts and Prior Siderosis

Dr Benzinger:

Another important feature to highlight showed up on another MRI in the left centrum semiovale. There is a lesion with FLAIR hyperintensity but suppresses centrally, which is not the location of his ARIA. And in fact, upon inspection of his other visits, what is seen is that when he developed that FLAIR hyperintensity, it had diffusion restriction. This is an important distinction.  ARIA and infarct have a lot of overlapping features on FLAIR. However, ARIA does not have diffusion restriction, and ARIA-related edema resolves over time. In this case, the patient had both processes occurring.

In the middle row, the right occipital FLAIR hyperintensity associated with the siderosis resolves on the follow-up visit. The finding in the left periventricular white matter corresponds to the infarct on a different visit. This highlights the need to watch for both of these things and distinguish ARIA from infarction; an infarct is not ARIA and requires standard stroke evaluation.

One additional finding in this case is on the very first baseline scan, there is 1 area of superficial siderosis, which is the same place where he develops ARIA later on. This reinforces the importance of carefully documenting superficial siderosis when reading that baseline MRI. In addition, when monitoring patients, areas of prior siderosis are important regions to scrutinize for subtle findings of new ARIA.

Case 7: Lessons Learned (Baseline Siderosis)

Dr Benzinger:

This case demonstrated siderosis at baseline and then the development of ARIA-E and ARIA-H all in the same region, once again illustrating that prior siderosis is predictive of future ARIA.

Case 7: Lessons Learned (ARIA Resolution and Vascular Comorbidities)

Dr Benzinger:

A second key lesson is that ARIA-E resolves on FLAIR, whereas an infarct does not. ARIA and ischemic infarcts can have overlapping features on FLAIR; DWI is essential to distinguish them. 

Finally, AD and vascular dementia commonly coexist, and most patients have several comorbidities to consider. Radiologists should always be thinking about other pathologies that these patients can have. These are real-life patients.