Ask AI
ARIA Training Module

CE / CME

Spot the Signal: Global Radiology Training for ARIA Detection in Alzheimer’s Care

Physician Assistants/Physician Associates: 1.00 AAPA Category 1 CME credit

Physicians: Maximum of 1.00 AMA PRA Category 1 Credit

European Learners: 1.00 EBAC® CE Credit

Released: April 23, 2026

Expiration: April 22, 2027

Activity

Progress
1 2 3
Course Completed

Case 2: Eligibility

Dr Benzinger:

Our next case is more straightforward than the first one. This is a 74-year-old male reporting gradual-onset memory loss. He lives at home with his spouse, performs home repairs, recently installed a new thermostat, and drives independently. His MMSE was 23/30, so a bit more advanced than in the first case, but still in the reasonable range for therapy, and his CDR is 0.5. His medications do not include any anticoagulants, but he does take 81 mg of aspirin per day. He is also an APOE4 heterozygous carrier, so he has 1 APOE4 allele. He had an amyloid PET scan with florbetapir, which was positive with uptake in the cortex and sparing in the cerebellum.

A key clinical factor is that he is living very independently right now. His symptoms are mild. He is biomarker positive for amyloid, which is required for ATT. He has a mildly elevated risk for ARIA because of his 1 APOE4 allele. He does have an antiplatelet medication on board, but in the US, taking aspirin is allowed with these therapies.

Case 2: Baseline Imaging

Dr Benzinger:

Brain volumetrics are normal, and in fact, hippocampal volumes are actually better than normal with no atrophy.

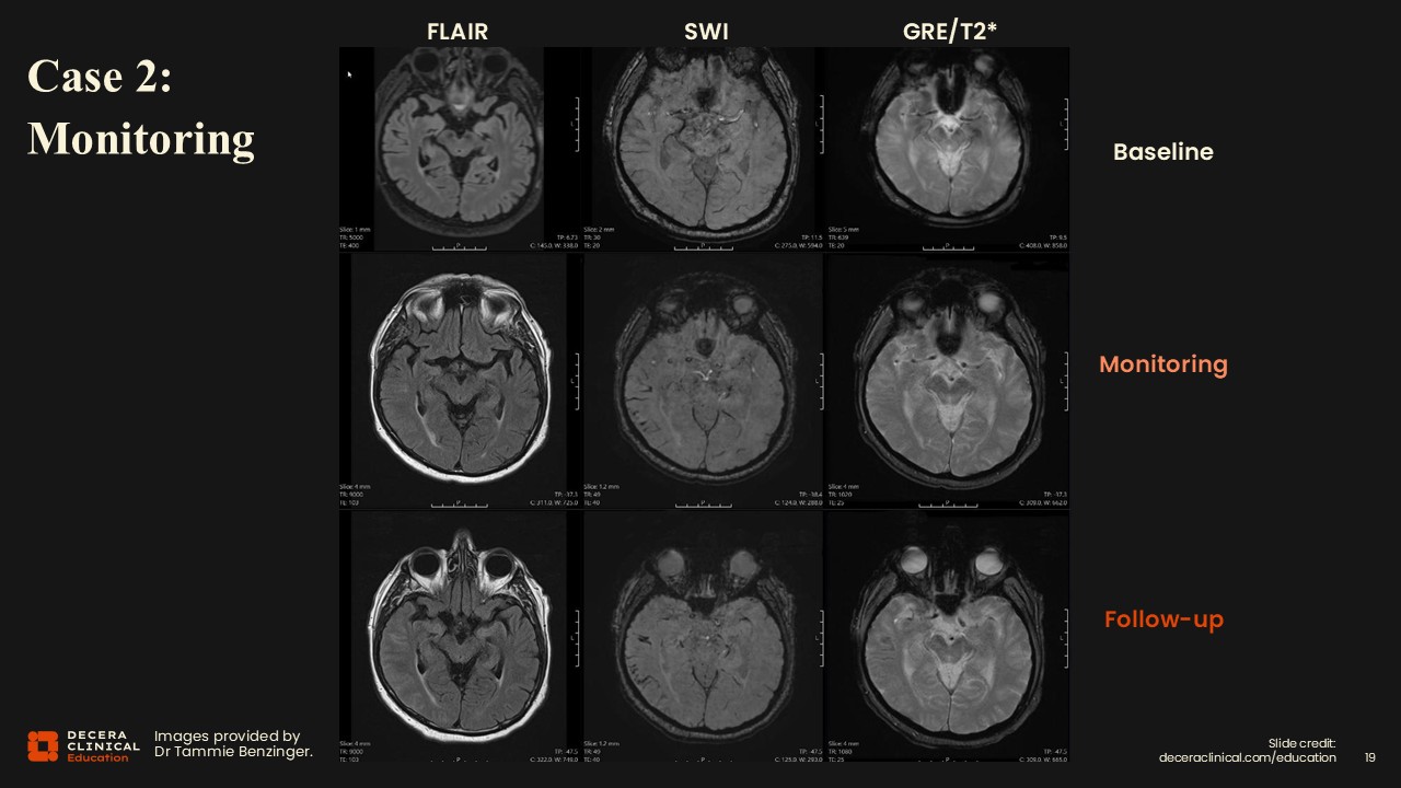
Case 2: Baseline MRI

Dr Benzinger:

This is another case in which the brain MRI appears almost normal; FLAIR, SWI, and GRE/T2* all look very good. An astute observer might note a prior burr hole, prompting clarification regarding the reason for his previous craniotomy.

Case 2: ARIA Detection

Dr Benzinger:

After ATT was initiated, monitoring MRI revealed new FLAIR hyperintensity involving a single, relatively large region (>9 cm) with sulcal effacement and subtle sulcal effusions, consistent with ARIA-E. 

Case 2: ARIA Detection (Detail)

Dr Benzinger:

In the same region, SWI demonstrated signal loss compatible with superficial siderosis. Without careful comparison to the prior study, these findings could easily be overlooked.

Case 2: ARIA Classification

Dr Benzinger:

Regarding ARIA classification, we have a single region measuring over 9 cm on FLAIR, and upon careful inspection, effacement of the sulci and even some small sulcal effusions can be seen. In those same ARIA regions that have the sulcal effusions, there is a loss of signal on susceptibility, indicating a little bit of siderosis starting. The FLAIR abnormality is classified as moderate because it is less than 10 cm. However, 3 areas of siderosis place this in the severe ARIA-H category.

Case 2: Potential Pitfalls of Head CT

Dr Benzinger:

This case was initially interpreted by a radiologist less familiar with ARIA, and in fact, they saw the siderosis and sulcal effusions, and thinking this patient could have a subarachnoid hemorrhage, decided to order a head computed tomography (CT).

A head CT is not required when these findings are recognized as a classic presentation for ARIA. The appropriate step is to notify the referring HCP to assess symptoms and use the symptomatology to apply the grading scale accurately and help guide management.

On careful inspection, that same sulcal effusion seen on MRI is showing up as just a little bit of gray area in the sulcus on the head CT as well.

Dr Lövblad:

It is also an important point that if the blood is not entirely fresh, it might not show up as well on a CT as on the combined MRI sequences, and this is very important.

Dr Benzinger:

In fact, if a patient comes to the emergency room with a headache or other symptoms of ARIA, many ERs are not set up to perform an MRI, but if you got only the head CT, you would miss the finding.  It is important to recognize that MRI sequences are the appropriate studies for patients receiving ATT.

Case 2: Lessons Learned

Dr Benzinger:

The key lesson from this case is the routine recognition of the appearance of ARIA. Without a full clinical history, ARIA should be considered in all older patients, given the prevalence of AD. Another lesson is that a head CT or a CT angiography (CTA) is not needed in these cases.

In our system, we have built out nice templates for reporting these examinations that come up automatically for us, so that if you just click 3 for siderosis, it will report severe ARIA-H.  But if the template is modified or the wrong template is loaded, then the reading radiologist will come to the wrong conclusion. This is an important operational lesson to keep in mind.

In this case, the optimal radiology response would have been to recognize the imaging pattern as characteristic of ARIA, assign the appropriate severity grade, and communicate the findings promptly to the referring HCP for clinical correlation, rather than defaulting to CT for evaluation of possible hemorrhage.

This illustrates 2 key points:

  1. ARIA is best evaluated with MRI; CT and CTA are not required for typical ARIA presentations and may fail to demonstrate the relevant abnormalities.
  2. When a patient known to be receiving ATT presents to the emergency department with symptoms such as headache, ARIA should be suspected and MRI, including FLAIR and SWI, should be ordered.