Ask AI
ARIA Training Module

CE / CME

Spot the Signal: Global Radiology Training for ARIA Detection in Alzheimer’s Care

Physician Assistants/Physician Associates: 1.00 AAPA Category 1 CME credit

Physicians: Maximum of 1.00 AMA PRA Category 1 Credit

European Learners: 1.00 EBAC® CE Credit

Released: April 23, 2026

Expiration: April 22, 2027

Activity

Progress
1 2 3
Course Completed

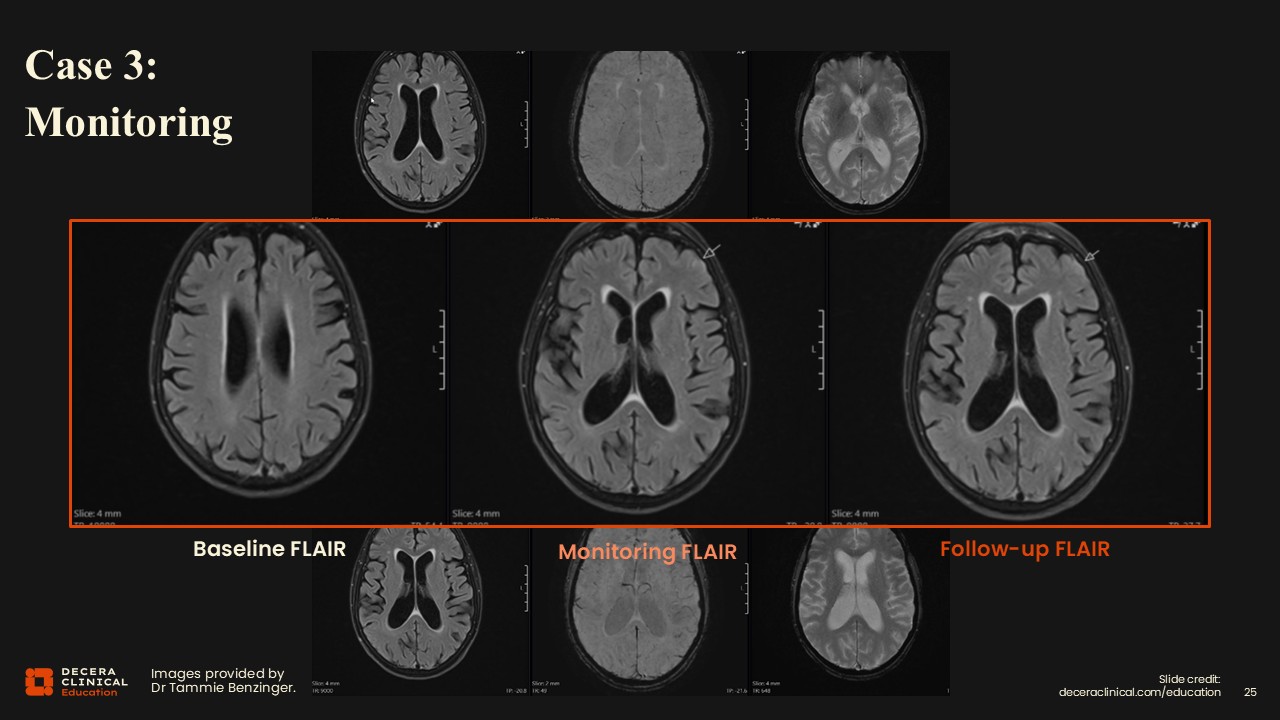
Case 3: Subtle ARIA and Retrospective Detection

Dr Benzinger:

This case represents a new patient on ATT. As with the other cases, we have a FLAIR, an SWI, and a GRE/T2*.  The findings here are very subtle.

Case 3: Subtle ARIA (Detail)

Dr Benzinger:

Consider the image in the middle on the bottom, circled in red. In the left frontal lobe, subtle darkness or loss of signal can be seen, which is new compared with baseline imaging. On careful review, it is associated with a very subtle effusion and edema. This ARIA-E was missed on the middle monitoring visit.

Case 3: Subtle ARIA (Grading)

Dr Benzinger:

The patient developed siderosis at the same location which was identified at the next follow-up, prompting retrospective review and recognition of the subtle abnormality on the prior study. In this case, he had mild ARIA-E on the prior visit and then developed mild ARIA-H as well.

Case 3: Lessons Learned

Dr Benzinger:

Radiologists may have cases where ARIA is identified in retrospect; it is important to communicate these findings to the clinical team about increased risk for future episodes. Because changes may be incremental over time, it is essential to review not only the most recent prior study but also the baseline examination, even when multiple time points are available.

If a prior report described the study as normal, that does not necessarily mean no abnormality was present; careful independent review remains essential. Radiologists should maintain a high index of suspicion; if ARIA is not being detected at a rate consistent with expectations (eg, approximately one case per five treated-patient MRIs), it is likely being under-recognized.